We’re presenting this selection of four pathology cases from DentistryIQ as a tool to help you sharpen your diagnostic skills. Your colleagues have shared these cases that you can study and save as a reference as you diagnose future pathology in your clinical exams.
Peer-to-peer is one of the best sources of learning. Do you have a case you’d like to share with us? Please email the details to Bethany Montoya, editorial director of Clinical Insights newsletter, at [email protected]. We look forward to featuring you!
Stay tuned for more pathology content from DentistryIQ.
Patient: 54-year-old female
- 4 mm x 5 mm fluctuant mass on the left side of the lingual frenum near the submandibular gland duct
- Mass is red, tissue-colored, and raised
- Slight tenderness to palpation
- Some firmness to the lesion overall
Patient: 74-year-old female
- 3 mm x 3 mm purple papule on the lower attached gingiva between teeth nos. 27 and 28
- Soft, fluctuant nodule
- Asymptomatic to the touch
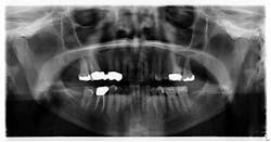
Patient: 74-year-old female
- 5 x 0.5-inch radiopaque mass on the left side, just anterior to the angle of the mandible
- Area is asymptomatic upon palpation
- Lesion has been present for at least six years
Patient: 65-year-old male
- 5 mm x 5 mm lesion on the lower labial tissue
- Lesion is white, flat, and irregular-bordered
- Not tender to palpation
The “harmless-looking” white lip lesion that got ignored
Editor’s note: This article first appeared in Clinical Insights newsletter, a publication of the Endeavor Business Media Dental Group. Read more articles and subscribe.
About the Author
Vicki Cheeseman
Associate Editor
Vicki Cheeseman is an associate editor in Endeavor Business Media’s Dental Group. She edits for Dental Economics, RDH, DentistryIQ, and Perio-Implant Advisory. She has a BS in mathematics and a minor in computer science. Early on she traded numbers for words and has been happy ever since. Vicki began her career with Dental Economics in 1987 and has been fascinated with how much media production has changed through the years, yet editorial integrity remains the goal. In her spare time, you’ll find her curled up with a book—editor by day, reader always.







