Here’s another clinical conundrum that I’m sure we can have a good discussion about. This is from an endodontist who has had this situation arise on more than one occasion and would like insight into the various reasons why we would (or would not) perform the treatment options presented below. For me, as a general dentist, I’m honestly riding the fence on this one.
Take a read and make your case...
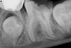
Clinical case
This situation has been presented to me a few times, and my approach, depending on a few variables, may ruffle some feathers.
A 10-year-old male presents to have endodontic treatment on no. 19. He is asymptomatic currently, but he has a recent history of pain and slight swelling. Antibiotics were employed, and he is better now.
As can be seen radiographically, the tooth is fully matured apically. No. 18 is clearly present as is no. 20.
Treatment options:
- Treat the tooth endodontically and then place a stainless-steel crown until the patient becomes of age.
- Remove no. 19 and, with orthodontic tweaking, move no. 18 into its place.
Discussion
Personally, I’m leaning toward removal because no. 18 will soon erupt. Since we are at the point where no. 18 and no. 20 will be emerging in a close time frame, they will likely be in very close proximity. Furthermore, the patient will most likely need orthodontic intervention since he has moderate crowding from the bicuspids to incisors.
My thought process is this: If we can have no. 18 erupt, as it appears to be "tilting,” then orthodontics can be employed to "tuck" it into the no. 19 position. Then we will have a new first molar, so to speak, in its position as opposed to having to do traditional endo and crown placement.
To me, it's just a question of longevity for the 10-year-old. Which treatment option has a better chance?
What do you think and why? If this were your son, what would you do? How would you advise the parent?
Looking forward to your replies!
Editor’s note: This article first appeared in Through the Loupes newsletter, a publication of the Endeavor Business Media Dental Group. Read more articles and subscribe to Through the Loupes.
About the Author
Stacey L. Gividen, DDS
Stacey L. Gividen, DDS, a graduate of Marquette University School of Dentistry, is in private practice in Montana. She is a guest lecturer at the University of Montana in the Anatomy and Physiology Department. Dr. Gividen has contributed to DentistryIQ, Perio-Implant Advisory, and Dental Economics. You may contact her at [email protected].

