Key concepts in esthetic gingival management: focusing on tooth preparation
By Adamo Notarantonio, DDS
Esthetic considerations of teeth and soft tissue play a major role in the treatment planning of dental care, especially in the restoration of anterior teeth. Most attention is paid to techniques and materials that are available in esthetic restorative dentistry, and less on soft tissue esthetics; i.e., the contours, color, and overall appearance of the gingiva and associated soft tissues. This article will demonstrate a basic approach to soft tissue esthetics, the appearance of the gingiva, and will outline a few soft tissue problems and their management when prepping teeth.
The appearance of the gingival tissues surrounding the teeth plays a critical role in anterior esthetics. Abnormalities in symmetry and contour can significantly affect the harmonious appearance of the natural or prosthetic dentition, but the overall health of the tissue can cause catastrophic results if not controlled properly. Many factors can lead to unhealthy gingival tissue. For example, poor oral hygiene, overbulked margins, and violation of biologic width are just a few. In my opinion, inadequate reduction of tooth structure is the number one reason for functional and esthetic failure in dentistry today. By this I mean simply, underprepped teeth.
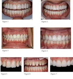
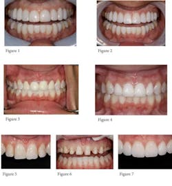
With the buzz of “prepless” and minimal prep veneers storming our media, patients are looking for quick, noninvasive ways to give them the smiles they so often see on television. Unfortunately, these cases are few and far between, and when done improperly, they can cause undesirable results to the teeth and soft tissues. In Fig. 1, we see a patient who had 14 “prepless” veneers placed. The lack of preparation of tooth structure caused two problems:
- The ceramist cannot give lifelike esthetics without adequate room.
- Negative soft tissue response resulted in inflammation and recession.

