Clinical Case – IMPLANTS
Using 3i Osseotite NT implants in the esthetic zone to replace congenitally missing maxillary lateral incisors ...
Introduction
Replacing congenitally missing teeth in the esthetic zone is challenging on several fronts. A difficult aspect of the case is often the lack of bone in areas of the missing teeth. Patients who are missing Teeth Nos. 7 and 10 have often had orthodontic treatment to create space to replace the teeth with implants, but can sometimes be left with adjacent roots that angle into the space needed to place the fixtures. In this article, one will see how 3i Osseotite™ NT implants can be used in such sites, using their naturally tapered form to fit into these difficult spaces. While most surgeons were introduced to NT implants as useful in extraction sockets, their use in this case is equally beneficial.
Initial patient presentation
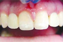
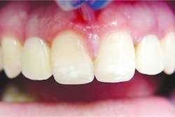
The patient is an 18-year-old female who presented wearing a retainer with pontics replacing Teeth Nos. 7 and 10 (Figure 1). She was leaving for college in several months and did not wish to begin college without permanent replacement teeth.
null
null
null
null
Diagnosis
- 18-year-old healthy female with congenitally missing maxillary lateral incisors
- Thick, flat tissue type
- Adequate ridge width
- Adequate space for replacement of the teeth with 3.25 mm Osseotite NT implants
- Excellent oral hygiene
Step 1
Records were taken at the initial consultation. Digital images were obtained in addition to study models. After careful analysis, it was determined that the patient would benefit from the use of 3i Microminiplant™ implants. The NT implant was chosen due to its tapered root form, making it an excellent choice in the maxillary anterior region. Many patients have orthodontic treatment to create room for implants that will replace anterior teeth. However, we sometimes find that these patients do not have enough interradicular space, making it possible to damage the roots of the adjacent teeth during implant surgery. NT implants, due to their tapered form, are therefore a natural choice in the anterior region.
Step 2
The patient began an anti-inflammatory medication the evening prior to surgery and a course of antibiotics the morning of the surgery. Two 3i Osseotite™ NT implants were placed in the position of missing Teeth Nos. 7 and 10. Correct positioning was verified using an acrylic stent that was fabricated preoperatively. The patient's thick, flat gingiva allowed for the placement of healing abutments at the time of surgery. The healing abutments were placed subgingivally, creating space above the platform of the implants from which the emergence profile of the final crowns will be developed (Figures 2 and 3).
Step 3
The patient was given careful postoperative instructions at the conclusion of surgery, including the use of topically applied chlorhexidine in addition to the medications she had started preoperatively. When the patient returned one week later, she reported minimal discomfort and excellent tissue health was observed (Figure 4).
Step 4
The patient continued to wear her temporary appliance during her two-month period of osseointegration. Originally, we discussed placing provisional crowns immediately after surgery, but due to the patient's comfort with her retainer and its excellent esthetics, she opted to continue to wear it.
Step 5
After a two-month period of osseointegration, the patient was referred back to her restorative dentist for the restoration of the implants. She reported the experience was not what she expected. While friends and acquaintances told her that the procedure would be very painful, she took very little pain reliever after surgery. She had also been under the impression she would need to wait six months for the implants to osseointegrate and was pleasantly surprised when she only needed to wait eight weeks. Finally, she was worried she would not be able to wear her appliance and was relieved when she was able to use it at all times, although we did advise her to leave it out as much as possible during the initial postoperative period.
Discussion
As we observe the development of new implant designs that make implants more "tooth-like," the NT implant fulfills this purpose as well. There are many times when a tapered implant body is the design of choice when one plans the size and position of an implant placed between natural teeth. The surface characteristics and design of this implant make it a perfect choice for this type of treatment. In the future, I believe this type of patient is even better served when provisional crowns are placed immediately after surgery, making the use of a retainer unnecessary.
Conclusion
3i Osseotite™ NT implants are very useful in cases involving the immediate placement of an implant into an extraction socket. However, they are equally useful in the maxillary anterior region, especially to replace lateral incisors, due to the angulation of the central incisor and canine roots after orthodontic tooth movement.
References
- Adell R, Leckholm U, Rockler B, Branemark PI. A 15-year study of osseointegrated implants in the treatment of the edentulous jaw. Int J Oral Surg 1981; 10(6):387-416.
- Branemark PI. Osseointegration and its experimental background. J Prosthet Dent 1983; 50(3):399-410.
- Castellon P, Block MS, Smith M, Finger I. Immediate implant placement and provisionalization using implants with an internal connection. Pract Proced Aesthet Dent 2004; 16(1):35-43.
- Kupeyan HK, May KB. Implant and provisional crown placement: a one-stage protocol. Implant Dent 1998;7(3):213-219.
Ivy S. Batos, DMD
Dr. Batos is in private practice in Willoughby, Ohio, specializing in periodontal treatment and dental implants. She is also an associate professor at Case Western Reserve School of Dental Medicine. You may contact Dr. Batos at [email protected].







