900-plus dental implants, 1 radiograph, and a case of the 'cat got your tongue'
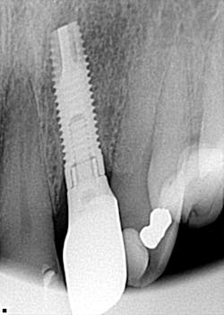
Breakthrough Clinical's Editorial Director Stacey L. Simmons, DDS, says, "Can you really identify more than 900 dental implants by looking at a single radiograph? I got my answer to this question when a patient came in and needed his lower fixed hybrid prosthesis removed. That bad boy had been on there for a long time and was, quite frankly, nasty!"
Editor's note: This article first appeared in DE's Breakthrough Clinical with Stacey Simmons, DDS. Find out more about it and subscribe here.
CAN YOU REALLY IDENTIFY more than 900 dental implants by looking at a single radiograph? I got my answer to this question when a patient came in and needed his lower fixed hybrid prosthesis removed. That bad boy had been on there for a long time and was, quite frankly, nasty! The problem? There was no record of who placed the implants or which dental implant system was in place. What did I do? Well, what do others do when they are faced with the same dilemma? You can read about it at this link; you may be surprised at just how much information a single radiograph can give you!
Cat got your tongue? Being tongue-tied can be challenging for a myriad of reasons, so eliminating this issue early on is key to nutritional intake (infants), proper speech development, and overall oral function. Is there an easy way to do this on infants and newborns? Dr. Josh Weintraub shows us how via the use of a CO2 laser. It's quick, simple, and the only way to do it with these tiny patients!
In our pathology case this month, a patient presents with a big “black hole” in her right mandible. It hurts, and it’s clear that some crazy sort of pathology is having its way. Take a look at this radiograph and ruminate over what you’d do to get this patient taken care of.
Cheers and happy reading, peeps!
Stacey L. Simmons, DDS
Editorial Director, DE’s Breakthrough Clinical with Stacey Simmons, DDS
LAST MONTH . . . Ya gotta love what you do to make the magic happen ....
Editor's note: This article first appeared in DE's Breakthrough Clinical with Stacey Simmons, DDS. Find out more about it and subscribe here.
For more articles about clinical dentistry, click here.
For the most current dental headlines, click here.
About the Author
Stacey L. Simmons, DDS
Editorial Director of DE's Breakthrough Clinical e-newsletter
Dr. Stacey Simmons grew up in Hamilton, Montana. She did part of her undergraduate work at Purdue University and then received her bachelor’s degree in exercise physiology from the University of Utah. After applying to both medical and dental school, she decided that dentistry was her career of choice. She received her DDS degree from Marquette University School of Dentistry in Milwaukee, Wisconsin, in 2004. In private practice, she focuses her care on prosthodontics and cosmetic dentistry. She is a guest lecturer in the Anatomy and Physiology Department at the University of Montana. Outside the office, she trains for triathlons and spends time with her family. You may contact Dr. Simmons by email at [email protected].
In 2015, Dr. Simmons became the editorial director of DE's Breakthrough Clinical with Stacey Simmons, DDS, an e-newsletter focused on breaking through plateaus in clinical practice. Subscription information may be found here.
Updated May 4, 2016



