Gingival recession: Causes, effects, and ways to reduce dentinal hypersensitivity
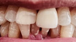
Gingival recession, the apical shift of the gingival margins,1,2 is the process in which the margin of the gingiva that surrounds the teeth wears away or pulls back, exposing surfaces of the tooth or the tooth’s root.3-5 This common finding in clinical practice can lead to dentinal hypersensitivity among patients during dental hygiene visits.2 To ensure patient compliance with their dental care and recare interval maintenance, it becomes imperative for practitioners to use desensitizing agents on patients to reduce dentinal hypersensitivity due to gingival recession. Various preventive measures can be taken during hygiene visits and at home for patients experiencing dentinal hypersensitivity associated to gingival recession.
Gingival recession is the result of a shift of the gingiva, positioned 0.5–2.0 mm coronal to the cementoenamel junction (CEJ) in a healthy periodontium, beyond the CEJ.6 Recession is a prevalent dental issue because of its gradual nature4 that affects most middle-aged and older people.4,7
According to the US National Survey, 88% of seniors age 65 and over and 50% of adults ages 18–64 present with gingival recession in one or more sites.4,7 Moreover, progressive increase in the frequency and extent of gingival recession is observed with an increase in age.7 When gingival recession occurs, disease-causing bacteria start to form as gaps and pockets between the teeth and the gingival lining appear.3,4 If left untreated, supporting tissue and bone structures of the teeth can be severely damaged, ultimately resulting in tooth loss.4
What causes gingival recession?
Gingival recession is multifactorial. Its causes include:
- Periodontal disease
- Supragingival and subgingival calculus accumulation
- Gingival inflammation
- Improper flossing
- Aggressive toothbrushing and use of a hard-bristled toothbrush
- High frenal attachment (which may impede plaque removal by causing pull on gingival margins)
- Tooth movement by orthodontic forces via proclination of incisors and arch expansion1
- Improperly designed partial dentures and restorations7,8
Subgingival restoration margins increase plaque accumulation, gingival inflammation, and alveolar bone loss.7,8 Further, the use of chemicals, such as topical cocaine application, causes gingival ulcerations and erosions as does smoking.7 Recession sites due to smoking have been found particularly on buccal surfaces of maxillary molars, premolars, and mandibular central incisors.7 These factors must be considered when classifying periodontal disease status as part of patient care.
You may also be interested in … Dental insurance claim reimbursement: Clinically optimizing scaling and root planing
Dental treatment methods for dentinal hypersensitivity
Gingival recession is assessed by a long clinical tooth and varied proportion when compared to adjacent teeth.7 It can manifest as localized or generalized and occur with or without loss of attached tissue.7 When a patient with gingival recession is in for hygiene therapy, dentinal hypersensitivity must be addressed first before proceeding with the appointment. Periodontal gels can be a solution for treating dentinal hypersensitivity problems in-office.9
A research study conducted in six dental schools investigated the ability of a thermosetting gel containing 25mg/g prilocaine and 25mg/g lidocaine as active agents to produce analgesia in periodontal pockets.10 This randomized, double-blind, placebo-controlled study used pain as measurement on a 100 mm Visual Analogue Scale (VAS) and a Verbal Rating Scale (VRS).6,10 Results using the VAS pain score showed that 5% anesthetic gel was statistically more effective than the placebo in reducing pain and sensitivity during periodontal debridement.10
Use of local anesthetics can be cost effective and save time for dental practitioners.4 In accordance with evidence-based research, a local anesthetic injection combined with a periodontal gel saved approximately 20 minutes per session.
Home-care products for patients with dentinal hypersensitivity
As part of the recall visit, review the oral hygiene regimen with patients who have gingival recession.11 Studies have indicated that improper toothbrushing can harm gingival tissue due to brushing pressure and bristle type, which serve as the most important determinants of gingival recession.11 Dentinal hypersensitivity is an issue for many patients who use hard-bristled toothbrushes.11 Recall visits are an ideal time to discuss ways to prevent dentinal hypersensitivity, and recommending a soft- or ultrasoft-bristled toothbrush or a power toothbrush with a pressure sensor can help these patients.11 Evidence indicates that such tools help minimize aggressive toothbrushing patterns. Technique and angulation affect plaque removal despite the toothbrush type.11
Likewise, selecting proper dentifrice is a must in patients with dentinal hypersensitivity.11 The relative dentin abrasivity (RDA) value measures abrasiveness of toothpaste on dentin.11 RDA is directly related to dentin loss, which contributes to teeth sensitivity.11 Using a toothpaste with low RDA can help minimize the symptoms of dentinal hypersensitivity and its progression due to gingival recession.11 Toothpastes with a RDA value of 0–70 are categorized as “low abrasion” and should be recommended to patients with existing hypersensitivity.11
Apart from the RDA of dentifrices, patients should consider a toothpaste with ingredients that help with dentinal hypersensitivity—calcium sodium phosphosilicate, arginine and calcium carbonate, strontium, or potassium nitrate.11 These ingredients depolarize the nerves or block dentinal tubules to prevent fluid movement, thereby decreasing nerve conduction and dentinal hypersensitivity.11 Since sensitivity-relief toothpastes work by different mechanisms, patients may need to try several different toothpastes and use them for a few weeks to find the one that alleviates their symptoms.11 Toothpaste with a high-fluoride concentration may also be beneficial.11
Dental procedures for dentinal hypersensitivity
Besides noninvasive ways of preventing and treating dentinal hypersensitivity due to gingival recession, invasive procedures such as periodontal surgery can be pursued to establish regular recare intervals for patients in addition to the recommended postoperative follow-up visits with their specialist.11 Evidence suggests that patients who have undergone periodontal surgery benefit from an alternating maintenance schedule between their general dentist and periodontist.11 At each scheduled periodontal maintenance visit, a periodontal exam, prophylaxis, and evaluation by the dentist should be performed.11
Reinforcing healthy habits
With these tools dental professionals can support oral health through routine in-office maintenance and regular home care. Proper oral hygiene is essential to long-term treatment success for dental hypersensitivity due to gingival recession.11 In-office periodontal gels can reduce hypersensitivity. Following a routine oral regimen using recommended products can help prevent gingival recession and minimize patients’ risk of clinical concerns in future. Addressing periodontal disease is vital for the longevity of a healthy periodontium and successful surgical outcomes.
Editor’s note: This article first appeared in Clinical Insights newsletter, a publication of the Endeavor Business Media Dental Group. Read more articles and subscribe.
References
- Zini A, Mazor S, Timm H, et al. Effects of an oral hygiene regimen on progression of gingivitis/early periodontitis: a randomized controlled trial. Can J Dent Hyg. 2021;55(2):85-94.
- Imber JC, Kasaj A. Treatment of gingival recession: when and how? Int Dent J. 2021;71(3):178-187. doi:10.1111/idj.12617
- Chambrone L, Ortega MAS, Sukekava F, et al. Root coverage procedures for treating localised and multiple recession‐type defects. Cochrane Database Syst Rev. 2018;10(10):CD007161. doi:10.1002/14651858.CD007161.pub3
- Marconcini S, Goulding M, Oldoini G, Attanasio C, Giammarinaro E, Genovesi A. Clinical and patient-centered outcomes post non-surgical periodontal therapy with the use of a non-injectable anesthetic product: a randomized clinical study. J Investig Clin Dent. 2019;10(4):e12446. doi:10.1111/jicd.12446
- Merijohn GK. Management and prevention of gingival recession. Periodontol 2000. 2016;71(1): 228-242. doi:10.1111/prd.12115
- Fageeh HN, Meshni AA, Jamal HA, Preethanath RS, Halboub E. The accuracy and reliability of digital measurements of gingival recession versus conventional methods. BMC Oral Health. 2019;19(1):154. doi:10.1186/s12903-019-0851-0
- Pradeep K, Rajababu P, Satyanarayana D, Sagar V. Gingival recession: review and strategies in treatment of recession. Case Rep Dent. 2012;2012:563421. doi:10.1155/2012/563421
- Jati AS, Furquim LZ, Consolaro A. Gingival recession: its causes and types, and the importance of orthodontic treatment. Dental Press J Orthod. 2016;21(3):18-29. doi:10.1590/2177-6709.21.3.018-029.oin
- Mayor-Subirana G, Yagüe-García J, Valmaseda-Castellón E, Arnabat-Domínguez J, Berini-Aytés L, Gay-Escoda C. Anesthetic efficacy of Oraqix versus Hurricaine and placebo for pain control during non-surgical periodontal treatment. Med Oral Patol Oral Cir Bucal. 2014;19(2):e192-e201. doi:10.4317/medoral.19202
- Donaldson D, Gelskey SC, Landry RG, Matthews DC, Sandhu HS. A placebo-controlled multi-centred evaluation of an anaesthetic gel (Oraqix) for periodontal therapy. J Clin Periodontol. 2003;30(3):171-175. doi:10.1034/j.1600-051x.2003.00017.x
- Saltz AE, Sirois V. The dental hygienist’s role in treating gingival recession. Proper prevention, treatment, and maintenance strategies are integral to achieving positive patient outcomes. Dimensions of Dental Hygiene. May 17, 2022. https://dimensionsofdentalhygiene.com/article/dental-hygienists-role-treating-gingival-recession/
About the Author

Masooma Rizvi, RDH
Masooma Rizvi, RDH, has been practicing clinical dental hygiene for five-and-a-half years in general practices across Halifax Regional Municipality in Nova Scotia, Canada. Her professional expertise caters to patients’ dental concerns relating to periodontal disease and orthodontic needs. Outside of work she likes to travel, read, and spend time with family and friends.
Updated February 14, 2024

