I suppose we all have thoughts about this type of clinical scenario. In truth, we all could put forth arguments as to what we would or wouldn’t do and hold our ground with fairly good justification. I guess that’s why dentistry is such a dynamic profession and what makes it—and medicine in general, for that matter—so fluid and fascinating.
Cheers,
Dr. Stacey
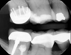
P.S. I counted seven pins.
Related articles
- Pathology with an iPhone? Yes, it’s really that simple!
- Have a crack at this case presentation and tell me what you’d do
Editor’s note: This article first appeared in Through the Loupes newsletter, a publication of the Endeavor Business Media Dental Group. Read more articles and subscribe to Through the Loupes.
Stacey L. Gividen, DDS, a graduate of Marquette University School of Dentistry, is in private practice in Hamilton, Montana. She is a guest lecturer at the University of Montana in the Anatomy and Physiology Department. Dr. Gividen is the editorial codirector of Through the Loupes and a contributing author for DentistryIQ, Perio-Implant Advisory, and Dental Economics. She serves on the Dental Economics editorial advisory board. You may contact her at [email protected].
About the Author
Stacey L. Gividen, DDS
Stacey L. Gividen, DDS, a graduate of Marquette University School of Dentistry, is in private practice in Montana. She is a guest lecturer at the University of Montana in the Anatomy and Physiology Department. Dr. Gividen has contributed to DentistryIQ, Perio-Implant Advisory, and Dental Economics. You may contact her at [email protected].



