How you handle mistakes in dentistry determines how good you are as a dentist
After 24 years in dentistry, I've seen some really bad dental work come through my office. Most of it mine!
I've taken enough continuing education courses and looked over the shoulders of the masters of our craft enough times to know what good dentistry looks like. I even tend to think of myself as a pretty damn good clinician. I've got good fine motor skills, and I use top-quality materials and methods. Yet, I still make mistakes that could be avoided.
In my early years, I made excuses or glossed over my mistakes. Like a football placekicker who blames his holder for his misses, I've blamed patients when it was really my fault. The hard lesson I've learned is that how you handle your mistakes plays a huge role in your success as a dentist.
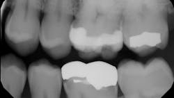
Just this week, I saw a patient for a recare exam who had decay under the mesial margin of a gold onlay I placed seven years ago. I looked back through the sporadic bitewings from the past several years, and sure enough, there it was—small at first and growing as my denial grew with it (figures 1 and 2).
My first inclination was to tell myself that we had made it past the seven-year insurance replacement mark, so it wasn’t a problem. Then, I wanted to blame the patient’s bad habits and inconsistent recare visits. But the professional health-care provider in me knew deep down where the blame was and what I should do. So, I sat the patient up (we’ll call him John) and confessed my sins.
“John, on the x-rays I can see decay under that gold restoration we placed several years ago. There are lots of possible reasons why this has happened, but most likely it's because of a mistake on my part. I'd like to make it right and replace the restoration for you at no charge. While it has served you well, it hasn't met our high standards. Is that OK with you?"
John was very thankful and even surprised: “Wow, I didn't even know there was a problem. Thanks for taking care of it.”
I could have put all the blame on the patient, and maybe he even deserves some of it. However, I've found that blaming others—no matter their true share of fault—just drags you down and hampers your ability to perform well in the future. If you dodge your mistakes, you begin to fear failure more than you enjoy success. When you give yourself permission to correct mistakes, you find—without guilt—that your work magically improves along with your confidence in the quality of care you provide. Recognizing and accepting your mistakes gives you the chance to grow and improve.
How well you handle your managerial mistakes also plays a big role in your relationship with your team members. Providing dental care is stressful. There are moments each week when you will make mistakes in coaching your employees, or you might let your frustration boil over into abrupt conversations that hurt morale.
Like mistakes in our dental work, it's easy to simply avoid dealing with the mistakes we make with others. We think if we close our eyes and ears to the mistakes, maybe they'll all blow over. If you've ever been married, you know that won't happen! Emotions make interpersonal mistakes grow exponentially. If not addressed in a timely manner, they can escalate and spread.
So, step up and make the uncomfortable apology. Let the person involved know you care, and that you'll try to do better in the future. Ask for the individual’s help in not allowing mistakes to hurt the team. Pretty soon you'll find that you have fewer issues to address, because your team will understand that mistakes happen, and you've got their back. In turn, they will support you.
The reality is that $^*t happens! How you handle mistakes will determine your long-term success as a dentist.
Editor's note: This article originally appeared in Breakthrough Clinical, a clinical specialties newsletter from Dental Economics and DentistryIQ. This content has been updated as of November 2024.
About the Author
Craig Harder, DDS
Craig Harder, DDS, a native of Spokane, Washington, is a 1995 graduate of the Creighton University School of Dentistry. He practices in Moses Lake, Washington, and previously served as the Grant County Health Department's dental liaison as well as Access to Baby and Child Dentistry champion.





