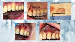
Clinical Collaboration: Connective tissue graft technique
Additionally, there is an early-stage recession in adjacent teeth, but the patient only wants to treat the canine. The patient lacks a foundation of keratinized tissue and admits to being an aggressive brusher; the extent of recession is 5 mm and is down to the mucogingival junction (MGJ). Due to the primary goal being root coverage, the technique of choice is connective tissue grafting.
Case overview
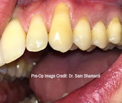
- The patient was concerned regarding the aesthetics of tooth no 11
- Chief concern: Lack of keratinized tissue, root exposure, mild sensitivity
- Radiographic analysis: Bone levels WNL
- Clinical analysis: Probing depths WNL, significant attachment loss, minimal keratinized tissue, sensitivity to touch, no mobility
- Etiology: Plaque and bacteria, orthodontics, aggressive brushing
- Goals of therapy: Root coverage
- Procedure chosen: Connective tissue graft
Clinician Q&A
Dr. Sam Shamardi: Connective tissue grafting is a gold-standard technique for root coverage. Harvesting tissue from a donor site provides ideal tissue match, and studies show long-term stability to be superior to alternative methods such as membranes or alloderm. The donor site tissue completely regenerates and could have a new graft harvested after six weeks of healing.
Dr. Sam Shamardi: Part of the benefit of using connective tissue opposed to alternative materials is that the graft does not need to be fully covered in order to heal; partial exposure can still result in excellent results as long as the majority (at least 2/3) of the graft is covered and receives blood supply. This provides further flexibility in comparison to alloderm, where even a slight amount of exposure at any point could result in failure.
Dr. Sam Shamardi: A Class V composite would work for the patient. If the patient has an aversion to the grafting with using their own tissue, a membrane or alloderm can be used.
Amber Auger: Tell us about the home-care limitations post-surgery.
- No brushing/flossing of area 10-14 days
- No eating hard/sticky foods
- No heavy exercise for 48 hours afterward
- Use Peridex and/or antibacterial rinses. Four ounces of warm water with 1 tsp of salt is another option
- No straws/suction for 7-10 days
- No pulling on the lip to evaluate the area for 10-14 days
- Two-week follow-up to remove sutures; one month to general evaluation of healing
- No probing/prophy of the area at gingival margin for a minimum of three months
The patient should ideally have a prophylaxis two to three weeks prior to the connective tissue graft procedure. This will allow for bacterial reduction, create the opportunity for hygiene instructions, and prevent the patient from discomfort while healing from the connective tissue grafting.
Amber Auger, MPH, RDH, is a practicing dental hygienist and clinical innovations implementation specialist. With 14 years of experience in the dental industry, Auger works with practices to provide customized protocols, to refocus on the patient experience, and to utilize systemic approaches to periodontal therapy. She is a regular contributor to RDH magazine, a featured author for DentistryIQ, and host of #AskAmberRDH. Auger also provides preventive services abroad yearly and is always willing to have dental professionals join her team. She can be reached at [email protected].
About the Author

Amber Auger, MPH, RDH
Amber Auger, MPH, RDH, is an international lecturer, 2019 Sunstar/RDH Award of Distinction recipient, and creator of Thrive in the OP and the certified Functional RDH. With more than 24 years in the dental field and practicing hygiene since 2010, Amber empowers professionals through on-demand courses and coaching. She specializes in root-cause soft tissue management, practical protocols, and career development, inspiring clinicians to enhance patient care and achieve career satisfaction. Reach Amber at [email protected].





