Periodontally accelerated osteogenic orthodontics reduces treatment times in comprehensive orthodontic cases
This article first appeared in the newsletter, DE's Breakthrough Clinical with Stacey Simmons, DDS. Subscribe here.
Orthodontic treatment is often used as an adjunctive therapy to facilitate ideal restorative dental treatment. Patients desiring restoration with dental implants often require additional procedures, including bone and soft-tissue grafting, and space manipulation. Space concerns can exist when there is insufficient space for an implant crown, not enough divergence between adjacent roots, or a combination of both conditions. An additional problem can be too much space between teeth, resulting in a gap that is too large for one implant, and too small for two implants. Orthodontic appliances can be used in each of these conditions to idealize restorative space and create an environment that will lead to optimum treatment results.
Most teeth respond to routine orthodontic forces in several months of treatment time. Opening space for an implant or moving teeth together to create an ideal implant space can sometimes become prolonged, especially as a patient becomes an adult and the alveolar bone matures. Sometimes space manipulation can slow down and become stalled partway through treatment. This can lead to increased treatment times and frustration for the patient, the restorative dentist, and the orthodontist involved.
ADDITIONAL READING |Temporary Anchorage Device (TAD) use in the treatment of anterior open bite
One way to help increase tooth movement in such a scenario is to use periodontally accelerated osteogenic orthodontics, a technique that involves creating corticotomies in the area of concern, which leads to a regional acceleratory phenomenon, or RAP. This results in increased bone turnover and decreased mineral content of the associated bone. This is often enough to help the patient get over the hump and finish the needed tooth movement.
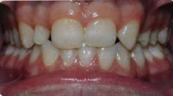
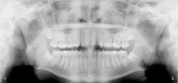
The following case study shows a Caucasian male, age 15 at the beginning of treatment. He had a peg lateral incisor No. 7 and was congenitally missing tooth No. 10. The treatment plan consisted of positioning tooth No. 7 for a veneer and opening space for an implant to replace tooth No. 10. After 30 months of orthodontic treatment had elapsed, there was still insufficient room for implant placement. There was sufficient room for the crown of No. 10, but the roots of teeth Nos. 9 and 11 were still too convergent to allow implant placement. The patient was leaving for college soon and was anxious to have treatment completed. The decision was made to have a periodontist do a corticotomy surgery to accelerate the tooth movement.
ADDITIONAL READING |Treatment considerations for the congenitally missing maxillary lateral incisor
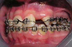
Corticotomy surgery was done and distal root movement was initiated on tooth No. 11 using a lever arm and elastic power chain. Root divergence was accomplished in eight weeks, and implant placement was accomplished at that time. The occlusion was detailed and orthodontic appliances were removed a short time later.
The patient reported mild to moderate pain from the corticotomy surgery that lasted for about a week. He was very satisfied with the treatment result and was happy with the decision to augment traditional treatment with periodontal surgery.
ADDITIONAL READING |A 'mini' extreme dental makeover: Implants with a double-arch All-On-4
Periodontally accelerated osteogenic orthodontics is often used from the outset of orthodontic treatment in order to dramatically reduce treatment times for a comprehensive orthodontic case. In addition to this, it can be used in cases where specific tooth movement has become difficult in a localized area and additional help is needed. The patient discomfort from the procedure is normally tolerated well and healing is typically not difficult or prolonged. A combined periodontic-orthodontic approach can help treatment continue to progress in difficult cases.
This article first appeared in the newsletter, DE's Breakthrough Clinical with Stacey Simmons, DDS. Subscribe here.
Source
Wilcko W, et al. Accelerating tooth movement: The case for corticotomy-induced orthodontics. American Journal of Orthodontics and Dentofacial Orthopedics. 2013;144(1):8.










